BARUN ANIMAL MEDICAL CENTER
'130평 서수원 최대규모, 유일한 24시 동물병원' 24시 바른동물의료센터
  • · 서울대학교 수의과대학 부속 동물병원 및 해마루 2차 동물병원 출신 진료진의 내과, 외과, 피부과, 안과, 정형외과 분과전문진료
  • · 서울대학교 수의과대학 각분야 Full-time 학위 취득 진료진
  • · 수의내과학 | 수의피부과학 | 수의일반외과 | 수의정형신경외과 | 수의안과학 전공
BARUN ANIMAL MEDICAL CENTER 의료진 소개
    • 송치윤 내과원장

      송치윤 내과원장

      • · 수의내과학 전공
      • 피부과학 / 내분비내과
      • · 경상대학교 수의과대학 졸업
      • · 서울대학교 수의과대학 수의내과학 석사졸업(Full-time)
      • · 서울대학교 수의과대학 부속동물병원 내과 주치의(2010.12 ~ 2013)
      • · 해마루 동물병원 내과/피부과 팀장(2013 ~ 2017)
      • · 삼성동물의료센터 내과원장
      • · 수원24시바른동물의료센터 내과원장(현)
      • · 부설반려동물피부질환연구소장
      • · 건국대학교 겸임교수
      • 전문활동사항
      • · 한국임상수의학회 정회원
      • · Bayer사 외이염 치료제 자문 및 Study report(2014)
      • · 생체외배양 면역세포(Exvivo boosted immune cell) 아토피 환자 대상 효능평가(2015-2016)
      • · 조에티스 아토피 치료약물(아포퀠) Field clinical test(2017-2018)
      • · 퓨리나 프로플랜 가수분해사료 HA Field Clinical Test(2021)
      • · 엘랑코 코리아 장기지속 외이염 지료제 Neptra Field Clinical test(2022)
      • · 대한수의사회지 피부질환 연재기고, 내과수의사의 재미있는 피부질환 이야기 (2014~현재)
      • · 서울시수의사회 학술지 연재기고, How I dIagnose
      • · 농림부 / 대한수의사회 동물보호시범교육단 동물보호교육 강의(2014~)
      • · 네오딘 벳랩 자문수의사(2021~) 외 다수의 기업에서 KOL(Key opinion leader) 활동중
      • 학회참가
      • · 서울대-건국대 합동증례발표회 (2010)
      • · World Small Animal Veterinary Association "WSAVA" 2011 (Jeju, Korea)
      • · 한국 임상수의학회 (2011, 2012, 2013, 2014, 2015,2016,2017,2018)
      • · 한국 수의내과학회 (2011, 2012)
      • · 서울수의컨퍼런스(2013,2014,2015,2016,2017,2018)
      • · Asian pacific veterinary conference 2014 (Bangkok, Tailand)
      • · Hill’s global symposium 2016(LA, USA)
      • · World congress of veterinary dermatology 2016(Bordeaux, France)
      • · World Small Animal Veterinary Association "WSAVA" 2017 (Incheon, Korea)
      • 방송출현
      • · JTBC <체인지>: 반려동물 고령화시대
      • · SBS <모닝와이드>: 반려동물 자가치료 부작용
      • 석사학위논문
      • · Effect of Manuka essential oil on Staphylococcus pseudintermedius isolated from canine skin and ears
      • 해외논문투고
      • · In vitro efficacy of the essential oil from Leptospermum scoparium (manuka) on antimicrobial susceptibility and biofilm formation in Staphylococcus pseudintermedius isolates from dogs (veterinary dermatology, 2013)
      • · Target organ identification of jellyfish envenomation using systemic and integrative analyses in anesthetized dogs (2011)
      • 수의사 대상 강의내역(내과강의)
      • · 2015.1 충북대 임상동문회 내과 강의 1강(강남역)
      • · 2016.7 아이헤듀 웨비나 내과강의: 빈호흡을 보이는 환자(해마루동물병원 아이헤듀 스튜디오)
      • · 2016.8 재경경상대학교 수의과대학 임상동문회 내과강의 4강(서울특별시 수의사회관)
      • · 2016.11 한국동물병원협회-네오딘 개소식 강의:빈혈로 내원한 환자 진단하기(부산크라운하버호텔)
      • · 2017.3 아이해듀 웨비나 내과강의: 복부팽만을 보이는 환자(해마루동물병원 아이헤듀 스튜디오)
      • · 2018.3 재경경상대학교 수의과대학 임상동문회 내과강의(서울특별시 수의사회과)
      • · 2018.5 로컬동물병원에서 자주 경험하는 비뇨기질환의 내과적 관리(서울특별시 수의사회관)
      • · 2018.5 로컬동물병원에서 자주 경험하는 혈액질환의 내과적 관리(서울특별시 수의사회관)
      • · 2018.9 내과질환에 의한 피부이상(경기도 수의사회관)
      • · 2019.3 개의 호르몬 질환과 피부이상(개의 쿠싱, 갑상선기능저하증)
      • 수의사 대상 강의내역(피부강의)
      • · 2013.11 해마루 동물병원 주최 성남시 수의사 대상 강의-소양감 접근법(해마루동물병원)
      • · 2013.11 해마루 동물병원 주최 성남시 수의사 대상 강의-피부질환에서 흔히 사용하는 약물(해마루동물병원)
      • · 2013.12 임상수의사 대상 강의-소양감 접근법, 외이염강의(강남역)
      • · 2014.5 아크리스동물병원 초청강의-피부과 약물/최신치료동향, 항생제 감수성 테스트의 해석(건국대학교 산학협력관)
      • · 2014.5 리베동물병원 임상수의사 대상강의(목동리베동물병원)
      • · 2014.6 서울/경기지역 임상수의사 모임(VMCR) 대상강의(서울시 수의사회관)
      • · 2014.8 해마루동물병원 심야강의 기본과정(해마루동물병원)
      • · 2014.9 경기도수의사 대상 강의-피부과 약물정리 / 탈모로 내원한 환자 접근법(경기도 수의사회)
      • · 2014.9 서울시 수의사회 conference 강의-쉬운 듯, 어려운 모낭충(건국대학교 산학협력관)
      • · 2014.10 부산시 경상대학교 임상동문회 강의(부산 서면)
      • · 2014.11 부산시 수의사회 강의 4강(부산동물메디컬 센터)
      • · 2014.12 용인시 수의사회 강의 3강(강남대학교)
      • · 2014.12 국립 경상대학교 수의과대학 본과생 대상 특강(경상대학교 수의과대학 본과3 강의실)
      • · 2015.2 해마루 심야강의 중급과정 피부강의(해마루 2차진료 동물병원)
      • · 2015.3 인천시 수의사회 연수교육 피부강의-육안병변과 현미경으로 진단확률 높이기(인천 파라다이스 호텔)
      • · 2015.4 천안시 수의사회 강의(천안시 두정동)
      • · 2015.5 해마루컨퍼런스 강의-개의 만성외이염(삼성역 인터콘티넨셜 호텔)
      • · 2015.6 울산시 수의사회 강의(울산광역시 임상수의사회관)
      • · 2015.7 아이해듀 웨비나 강의-skin language: 피부병변 해석하기!
      • · 2015.8 한국동물병원 협회 EXPO 강의(일산 KINTEX)
      • · 2015.8 GNS BIO 사내강의-Canine atopic dermatitis(GNS BIO 본사)
      • · 2015.9 아이해듀 웨비나 강의-모낭충 어떻게 진단하고 치료할까?
      • · 2015.10 추계임상수의학회 강의-각화이상 피부질환(서울대학교)
      • · 2015.11 한국동물병원협회 한국임상수의사 추계학술대회 강의(대전 컨벤션 센터)
      • · 2015.12 울산광역시 수의사회 강의-개의 외이염(울산시 수의사회과)
      • · 2016.2 부천시수의사회 강의(부천시 수의사회 사무실)
      • · 2016.3 한국동물병원협회 창립총회 강의
      • · 2016.4 경기도 수의사회 연수교육강의-내과질환과 피부이상(경기도 수의사회과)
      • · 2016.4 전주시 수의사회 피부질환 특강
      • · 2016.5 대구시 수의사회 연수교육 강의(경북대학교)
      • · 2015.6 KVBP forum lunch semina 아토피 강의 1강 체외증강면역세포를 이용한 개아토피 치료증례 발표(메이필드 호텔)
      • · 2015.7 영남컨퍼런스강의(부산 BEXCO)
      • · 2016.8 서울수의컨퍼런스(양재동 K-HOTEL)강의
      • · 2016.9 광주광역시 수의사회 로컬임상가들이 반드시 알아야 할 아토피: 과거 그리고 미래
      • · 2016.10 한국마사회 강의-피부질환, 피부질환검사법(한국마사회 본사)
      • · 2016.10 청주시 수의사회 강의-개의 아토피성 피부질환(청주CBS 방송국)
      • · 2016.11 강원도 수의사회 강의
      • · 2016.12 버려진 동물을 위한 수의사회 펀딩강의: 로컬 수의사가 알고 있어야 할 아토피 질환(판교테크노벨리 글로벌 R&D센터)
      • · 2016.12 경기도 수의사회 연수교육 강의-로컬임상가들을 위한 피부진료 TIP(경기도 수의사회관)
      • · 2017.2 창원시 수의사회 강의: 개의 알러지성 피부질환 최신경향(창원 창신대학교)
      • · 2017.2 해마루동물병원 심야강의 심화과정-고양이 피부질환, 개 아토피성 피부질환(강남역)
      • · 2017.2 아포티 신약 아포퀠출시 Road show-부산,대전,대구,광주
      • · 2017.6 바이엘주최 바이엘아카데미 피부강의-저년차 수의사들을 위한 피부학(바이엘코리아 본사)
      • · 2017.10 화성시 수의사회 대상 피부강의-감염성 피부질환, 귀질환(용인스테이 호텔)
      • · 2017.11 서울특별시 관악구 평생교육원 강의-피부질환에 대한 오해와 진실(서울시 관악구청)
      • · 2017.11 충청남도 수의사회 보수교육 강의-감염성 피부질환(온양그랜드호텔)
      • · 2017.12 서울시 수의사회 컨퍼런스 강의-외이염의 내과적인 관리방법(건국대학교)
      • · 2017.12 임상수의사 대상 피부강의-개와 고양이의 알러지성 피부질환
      • · 2018.2 충북대학교 수의과대학 강의-해부, 생리학을 기본으로 한 외이염치료 기본원칙(충북대학교)
      • · 2018.3 충청남도 수의사회 보수교육 강의-간지러워 하는 강아지의 진단적 접근
      • · 2018.4 해마루 심야강의 기본과정 강의-Skin language:피부병변의 해석과 감염성 피부질환
      • · 2018.5 해마루 심야강의 기본과정 강의-초보임상가를 위한 귀질환
      • · 2018.6 서울시 수의사회 컨퍼런스강의-만성외이염의 내과적관리(건국대학교)
      • · 2018.6 바이엘 아카데미-초보임상가를 위한 피부질환(바이엘 본사)
      • · 2018.7 부산수의컨퍼런스강의-내과질환에 의한 피부이상(부산항 컨벤션 센터)
      • · 2018.8 KAHA 강의-죽어라 재발되는 지간염(COEX)
      • · 2018.10 경기도 수의사회의 날 강의-로컬임상가를 위한 반려동물 알러지성 피부질환(경기도 수의사회관)
      • · 2019.4 인천광역시 수의사회 연수교육강의-로컬임상가를 위한 귀질환(베스트웨스틴 하버파크호텔)
      • · 2019.6 경기도수의사회 연수교육강의강의-로컬동물병원에서 의뢰된 알러지성 피부질환 환자: 케이스 기반분석(경기도수의사회관)
      • · 2019.8 한국동물병원협회 국제학술대회강의-고양이의 알러지성 피부질환(COEX)
      • · 2019.10 서울시 수의사회 컨퍼런스 강의-만성외이염의 원인찾기: PSPP System(세종대학교)
      • · 2019.10 한국반려동물 임상수의사 학술대회: 알러지성 피부질환으로 의뢰된 환자 분석(대전 인터시티 호텔)
      • · 2019.10 로컬임상가를 위한 알러지성 피부질환(강남역)
      • · 2019.11 경기도수의사의날 학술대회강의-만성외이염의 원인: 알러지가 다일까?(수원컨벤션센터)
      • · 2020. 02 로컬임상가를 위한 알러지성 피부질환(부산 초량역)
      • · 2020.11 서울수의컨퍼런스강의-개와 다른 고양이의 피부질환: 진단(온라인)
      • · 2020.11 부산수의컨퍼런스강의-아토피성 피부질환 치료 최신경향(Bexco->온라인대체)
      • · 2021. 1 개의 감염성 피부질환(산본 솔동물의료센터)
      • · 2021. 3 개의 귀 질환(산본 솔동물의료센터)
      • · 2021. 7 개의 음식물알러지 온라인 강의:실전편(퓨리나 프로플랜)
      • · 2021. 9 한국동물병원협회 강의-피부전문동물병원으로 의뢰된 케이스 분석(세종대학교 광개토대왕홀)
      • · 2021.10 개의 음식물알러지 온라인 강의:이론편(퓨리나 프로플랜)
      • · 2021.12 서울수의컨퍼런스강의-발을 핥는 개에 대한 고찰(세종대학교 광개토대왕홀)
      • · 2022.5 장기지속 외이염 치료제: 엘랑코코리아 넵트라 런칭웨비나
      • · 2022.7 2022 영남수의컨퍼런스: 개 아토피 치료, 디테일이 결정한다(창원컨벤션센터 CECO)
      • · 2022.9 서울수의컨퍼런스(세종대학교 광개토대왕홀)
      • · 2022.11 경기수의컨퍼런스: 로컬임상가를 위한 스테로이드 사용지침(수원컨벤션센터)
      • · 2023.2 인천시수의사회연수교육강의: 발을 핥는 개에대한 고찰, 의뢰된 환자 무엇을 잘못하고 있나(인천송도컨벤시아)
      • · 2023.5 영남컨퍼런스강의: 고양이 아토피성 피부염-진단부터 치료까지(울산컨벤션센터)
      • · 2023.6 장기지속외이염 치료제 넵트라 웨비나(해마루 아이헤듀 스튜디오)
      • · 2023.11 인천수의컨퍼런스(송도컨벤션센터): Oclacitinib 사용 10년간의 기록
      • · 2024.3 한국동물병원협회 컨퍼런스(제주신화월드): 아토피 치료제 아포퀠 강의
      • · 2024.4 충청북도수의사회 연수교육(청주 프라자호텔): 아포퀠 강의
      • · 2024.6 충남대학교 수의과대학 대학원 특강(충남대 수의대): 아토피성 피부질환
      • · 2024.9 서울수의컨퍼런스(세종대학교): 고양이 알러지, 아토피 개와 뭐가 다르지?!
      • · 2024.11 경기도수의사회 컨퍼런스 강의(킨텍스): 개와 다른 고양이의 아토피성 피부질환
      • · 2024. 건국대학교 수의과대학 본과4학년 강의
      • · 2025.2 전라북도수의사회 연수교육강의(전북대학교): 고양이의 아토피
      • · 2025.5 전라남도 수의사회 강의
      • · 2025.7 경기도 수의사회 컨퍼런스 강의: 스테로이드 사용법
      • · 2025.8 Exosome의 수의피부학 분야 적용(아이헤듀)
      • · 2025.9 일본수의학회(JBVP) 강의(도쿄): 수의피부과학분야에서의 Exosome적용
      • 저서/번역서
      • · 고양이 피부질환의 임상적접근(Clinical approach to feline dermatologic diseases)

    • 이종명 내과원장

      이종명 내과원장

      • · 수의내과학 전공
      • 순환기내과
      • · 경상대학교 수의과대학 졸업
      • · 서울대학교 수의과대학 수의내과학 석사졸업(Full-time)
      • · 서울대학교 수의과대학 부속동물병원 내과 주치의
      • · 서울대학교 수의과대학 부속동물병원 피부과 팀장
      • · 평촌다온동물병원 내과과장
      • · 서울금천k동물병원 내과원장
      • · 용인서울yes동물병원 내과원장
      • · 수원24시바른동물의료센터 내과원장(현)
      • 전문활동사항
      • · 국립수의과학검역원 공중방역수의사
      • · 한국임상수의학회 정회원
      • · 수의내과학회 정회원
      • · 대한수의피부과학회 정회원
      • 학회참가
      • · 한국 임상수의학회 (2012, 2013, 2014)
      • · 한국 수의내과학회 (2012, 2013)
      • · 서울수의컨퍼런스(2012, 2013, 2014)
      • · KAHA congress (2007, 2012, 2014)
      • · WSAVA-FASAVA World Congress (2011)
      • · SNU Center for Veterinary Continuing Education 'small Animal Ultrasound' (2015)
      • · Westeren Veterinary Conference 2015 (Las Vegas, US)
      • 석사학위논문
      • · In vitro antrifungal effect of manuka essential oil on Malassezia pachydermatis from canine skin and ears
      • 강의내역
      • · 서울대학교 수의과대학 학부생 내과 실습강의 (2012, 2013)
      • · 서울대학교 수의과대학 학부생 피부과 실습강의 (2014)

    • 조광래 외과원장

      조광래 외과원장

      • · 수의외과학 전공
      • 정형신경외과
      • · 경상대학교 수의과대학 졸업
      • · 서울대학교 수의과대학 수의외과학 석사졸업(Full-time)
      • · 서울대학교 수의과대학 부속동물병원 정형/신경외과 주치의
      • · 광주동물메디컬센터 외과과장
      • · 금천24시 K동물의료센터 외과과장
      • · 수원24시바른동물의료센터 외과원장(현)
      • 전문활동사항
      • · 한국임상수의학회 정회원
      • · 수의외과학 정회원
      • · 수의골관절학회 정회원
      • 학술활동
      • · AOVET Course-Principles in Small Animal Fracture Management
      • · AOVET Course-Advanced in Small Animal Fracture Management
      • · 2017 World Veterinary Conferece E-Poster 'Effects of the Acetyl-Myristoleate in osteoarthritis dogs'
      • · 2018 North American Veterinary Community Conference
      • 석사학위논문
      • · Effects of Canine Cortical Bone Demineralization on Osteogenic Differentiation of Adipose-Derived Mesenchymal Stromal Cells

    • 박근보 내과원장

      박근보 내과원장

      • · 수의내과학 전공
      • 소화기내과 / 종양내과
      • · 경상대학교 수의과대학 졸업
      • · 서울대학교 수의과대학 수의내과학 석사 Full-time 졸업
      • · 서울대학교 동물병원 주치의(내과,피부과 근무)
      • · 서울대학교 수의과학연구소 연구원(사람과 동물간 질병전파에 관한 연구)
      • · 분당 k 동물병원 내과장, 부원장
      • · 웰케어 동물메디컬센터 내과장
      • · 용인 서울예스동물병원 원장
      • · 수원24시바른동물의료센터 내과원장(현)
      • · 한국수의순화기내과학회 정회원
      • · 한국수의피부과학확회 정회원
      • · 한국수의종양과학회 정회원
      • 해외학회 참가
      • · WCVD world congress of Veterinary Dermatology(Hong kong)
      • · WCVD world congress of Veterinary Dermatology(Bordeaux, France)
      • · AMAMS(Shaghai, China)
      • · WCVD world congress of Veterinary Dermatology(hong kong)
      • · WASAVA(world small animal veterinary world congress-jeju)
      • 연구논문
      • · 수의내과학회 구두발표
      • · WCVD(세계수의피부학회) 포스터 발표
      • · 피부사상균이 경주마의 경기력에 미치는 영향(석사학위논문)

    • 유형아 외과원장

      유형아 외과원장

      • · 수의외과학 전공
      • 안과학 / 일반외과 / 한방수의학
      • · 건국대학교 수의과대학 졸업
      • · 서울대학교 수의과대학 수의외과학 석사졸업(Full-time)
      • · 서울대학교 수의과대학 부속동물병원 근무
      • · 국립수의과학검역원 진단병리과
      • · 쿨펫동물병원 원장
      • · 두암한방동물병원 부원장
      • · 수원삼성동물의료센터 외과과장
      • · 수원24시바른동물의료센터 외과원장(현)
      • 전문활동사항
      • · 한국임상수의학회 정회원
      • · 수의외과학회 정회원
      • · 수의안과학회 정회원
      • 석사학위논문
      • · Determination of the Optical Dark Adaptation Time on Electroretinogram in Conscious Miniature Schnauzer Dogs

    • 문형욱 진료부장

      문형욱 진료부장

      • · 제주대학교 수의과대학 졸업
      • · 제주대학교 조직학 실험실 연구원
      • · 육군 수의장교
      • · 건국대학교 수의외과학 전공 석사과정
      • 발표논문
      • · Microarray analysis of differentially expressed gene and their functions of jeju ground water in spleen
      • 연수 및 교육과정 이수
      • · 인천광역시 수의사회 수의치과 세미나 수료
      • · 해마루 이차진료 동물병원 복부초음파, 방사선 과정 수료
      • · 치과전문동물병원 발치학, 레진 세미나 수료
      • · Veterflix 치과과정(발치, 치과방사선, 스케일링 wet lab 수료)
      • · 2020 6th asian veterinary dental forum
      • · 2021 KAHA congress
      • · 2021, 2022 서울 수의임상컨퍼런스
      • · 2023 수원 수의임상컨퍼런스, 인천 수의임상컨퍼런스
      • · 2024 경기 수의임상컨퍼런스
      • · 2025 한국수의임상학술대회

    • 임연수 진료수의사

      임연수 진료수의사

      • · 강원대학교 수의과대학 수의학과 졸업
      • · 한국수의응급의학협회 정회원
      • 연수 및 교육과정 이수
      • · 2023 해마루 임상수의학 기본과정 수료

    • 성현정 진료수의사

      성현정 진료수의사

      • · 경상대학교 수의과대학 수의학과 졸업
      • · 서울대학교 수의과대학 동물병원 내과 진료수의사 (2011~2013)
      • · 서울 지구촌동물병원 부원장 (2014~2015)
      • · 수원24시바른동물의료센터 진료수의사(현)
      • · 해마루동물병원, 서울대학교 수의과대학 동물병원 학생인턴

    • 심혜수 영상의학과장

      심혜수 영상의학과장

      • · 건국대학교 수의학과 졸업 (2015)
      • · 건국대학교 수의과대학원 수의영상진단학 석사 졸업 (2021)
      • · 한국수의영상의학연구회(KSVMI) 정회원
      • · International veterinary Radiology Association(IVRA) 정회원

      • · 24시 삼성동물의료센터 인턴 및 진료수의사 (2015~2016)
      • · 건국대학교 부속동물병원 인턴 및 레지던트 수료 (2020~2021)
      • · 한국임상수의학회 춘계학술대회 발표
      • · 솔동물의료센터 영상진단과장 (2021~2025)
      • · 현 수원24시바른동물의료센터 영상의학과장 (2025~)

    • 이수열 내과과장

      이수열 내과과장

      • · 제주대학교 수의과대학 졸업 (2022)
      • · 건국대학교 수의내과학 석사 졸업 (2024)

      • · 24시 SD동물의료센터 진료수의사(2022~2024)
      • · 수원 24타임즈 동물의료센터 야간응급수의사(2023~2024)

      • · 서울시 수의사회컨퍼런스 참가(2022)
      • · 미국 올랜도 Veterinary meeting and Expo (VMX) 참가(2023)
      • · 포르투갈 리스본 WSAVA poster 발표(2023)

      • · J Vet Sci. Diagnostic validation of the urine albumin-to-creatinine ratio for early renal disease in healthy dogs and dogs with chronic kidney disease

이전 다음
  • 송치윤 내과원장

    송치윤 내과원장

    • · 수의내과학 전공
    • 피부과학 / 내분비내과
    • · 경상대학교 수의과대학 졸업
    • · 서울대학교 수의과대학 수의내과학 석사졸업(Full-time)
    • · 서울대학교 수의과대학 부속동물병원 내과 주치의(2010.12 ~ 2013)
    • · 해마루 동물병원 내과/피부과 팀장(2013 ~ 2017)
    • · 삼성동물의료센터 내과원장
    • · 수원24시바른동물의료센터 내과원장(현)
    • · 부설반려동물피부질환연구소장
    • · 건국대학교 겸임교수
    • 전문활동사항
    • · 한국임상수의학회 정회원
    • · Bayer사 외이염 치료제 자문 및 Study report(2014)
    • · 생체외배양 면역세포(Exvivo boosted immune cell) 아토피 환자 대상 효능평가(2015-2016)
    • · 조에티스 아토피 치료약물(아포퀠) Field clinical test(2017-2018)
    • · 퓨리나 프로플랜 가수분해사료 HA Field Clinical Test(2021)
    • · 엘랑코 코리아 장기지속 외이염 지료제 Neptra Field Clinical test(2022)
    • · 대한수의사회지 피부질환 연재기고, 내과수의사의 재미있는 피부질환 이야기 (2014~현재)
    • · 서울시수의사회 학술지 연재기고, How I dIagnose
    • · 농림부 / 대한수의사회 동물보호시범교육단 동물보호교육 강의(2014~)
    • · 네오딘 벳랩 자문수의사(2021~) 외 다수의 기업에서 KOL(Key opinion leader) 활동중
    • 학회참가
    • · 서울대-건국대 합동증례발표회 (2010)
    • · World Small Animal Veterinary Association "WSAVA" 2011 (Jeju, Korea)
    • · 한국 임상수의학회 (2011, 2012, 2013, 2014, 2015,2016,2017,2018)
    • · 한국 수의내과학회 (2011, 2012)
    • · 서울수의컨퍼런스(2013,2014,2015,2016,2017,2018)
    • · Asian pacific veterinary conference 2014 (Bangkok, Tailand)
    • · Hill’s global symposium 2016(LA, USA)
    • · World congress of veterinary dermatology 2016(Bordeaux, France)
    • · World Small Animal Veterinary Association "WSAVA" 2017 (Incheon, Korea)
    • 방송출현
    • · JTBC <체인지>: 반려동물 고령화시대
    • · SBS <모닝와이드>: 반려동물 자가치료 부작용
    • 석사학위논문
    • · Effect of Manuka essential oil on Staphylococcus pseudintermedius isolated from canine skin and ears
    • 해외논문투고
    • · In vitro efficacy of the essential oil from Leptospermum scoparium (manuka) on antimicrobial susceptibility and biofilm formation in Staphylococcus pseudintermedius isolates from dogs (veterinary dermatology, 2013)
    • · Target organ identification of jellyfish envenomation using systemic and integrative analyses in anesthetized dogs (2011)
    • 수의사 대상 강의내역(내과강의)
    • · 2015.1 충북대 임상동문회 내과 강의 1강(강남역)
    • · 2016.7 아이헤듀 웨비나 내과강의: 빈호흡을 보이는 환자(해마루동물병원 아이헤듀 스튜디오)
    • · 2016.8 재경경상대학교 수의과대학 임상동문회 내과강의 4강(서울특별시 수의사회관)
    • · 2016.11 한국동물병원협회-네오딘 개소식 강의:빈혈로 내원한 환자 진단하기(부산크라운하버호텔)
    • · 2017.3 아이해듀 웨비나 내과강의: 복부팽만을 보이는 환자(해마루동물병원 아이헤듀 스튜디오)
    • · 2018.3 재경경상대학교 수의과대학 임상동문회 내과강의(서울특별시 수의사회과)
    • · 2018.5 로컬동물병원에서 자주 경험하는 비뇨기질환의 내과적 관리(서울특별시 수의사회관)
    • · 2018.5 로컬동물병원에서 자주 경험하는 혈액질환의 내과적 관리(서울특별시 수의사회관)
    • · 2018.9 내과질환에 의한 피부이상(경기도 수의사회관)
    • · 2019.3 개의 호르몬 질환과 피부이상(개의 쿠싱, 갑상선기능저하증)
    • 수의사 대상 강의내역(피부강의)
    • · 2013.11 해마루 동물병원 주최 성남시 수의사 대상 강의-소양감 접근법(해마루동물병원)
    • · 2013.11 해마루 동물병원 주최 성남시 수의사 대상 강의-피부질환에서 흔히 사용하는 약물(해마루동물병원)
    • · 2013.12 임상수의사 대상 강의-소양감 접근법, 외이염강의(강남역)
    • · 2014.5 아크리스동물병원 초청강의-피부과 약물/최신치료동향, 항생제 감수성 테스트의 해석(건국대학교 산학협력관)
    • · 2014.5 리베동물병원 임상수의사 대상강의(목동리베동물병원)
    • · 2014.6 서울/경기지역 임상수의사 모임(VMCR) 대상강의(서울시 수의사회관)
    • · 2014.8 해마루동물병원 심야강의 기본과정(해마루동물병원)
    • · 2014.9 경기도수의사 대상 강의-피부과 약물정리 / 탈모로 내원한 환자 접근법(경기도 수의사회)
    • · 2014.9 서울시 수의사회 conference 강의-쉬운 듯, 어려운 모낭충(건국대학교 산학협력관)
    • · 2014.10 부산시 경상대학교 임상동문회 강의(부산 서면)
    • · 2014.11 부산시 수의사회 강의 4강(부산동물메디컬 센터)
    • · 2014.12 용인시 수의사회 강의 3강(강남대학교)
    • · 2014.12 국립 경상대학교 수의과대학 본과생 대상 특강(경상대학교 수의과대학 본과3 강의실)
    • · 2015.2 해마루 심야강의 중급과정 피부강의(해마루 2차진료 동물병원)
    • · 2015.3 인천시 수의사회 연수교육 피부강의-육안병변과 현미경으로 진단확률 높이기(인천 파라다이스 호텔)
    • · 2015.4 천안시 수의사회 강의(천안시 두정동)
    • · 2015.5 해마루컨퍼런스 강의-개의 만성외이염(삼성역 인터콘티넨셜 호텔)
    • · 2015.6 울산시 수의사회 강의(울산광역시 임상수의사회관)
    • · 2015.7 아이해듀 웨비나 강의-skin language: 피부병변 해석하기!
    • · 2015.8 한국동물병원 협회 EXPO 강의(일산 KINTEX)
    • · 2015.8 GNS BIO 사내강의-Canine atopic dermatitis(GNS BIO 본사)
    • · 2015.9 아이해듀 웨비나 강의-모낭충 어떻게 진단하고 치료할까?
    • · 2015.10 추계임상수의학회 강의-각화이상 피부질환(서울대학교)
    • · 2015.11 한국동물병원협회 한국임상수의사 추계학술대회 강의(대전 컨벤션 센터)
    • · 2015.12 울산광역시 수의사회 강의-개의 외이염(울산시 수의사회과)
    • · 2016.2 부천시수의사회 강의(부천시 수의사회 사무실)
    • · 2016.3 한국동물병원협회 창립총회 강의
    • · 2016.4 경기도 수의사회 연수교육강의-내과질환과 피부이상(경기도 수의사회과)
    • · 2016.4 전주시 수의사회 피부질환 특강
    • · 2016.5 대구시 수의사회 연수교육 강의(경북대학교)
    • · 2015.6 KVBP forum lunch semina 아토피 강의 1강 체외증강면역세포를 이용한 개아토피 치료증례 발표(메이필드 호텔)
    • · 2015.7 영남컨퍼런스강의(부산 BEXCO)
    • · 2016.8 서울수의컨퍼런스(양재동 K-HOTEL)강의
    • · 2016.9 광주광역시 수의사회 로컬임상가들이 반드시 알아야 할 아토피: 과거 그리고 미래
    • · 2016.10 한국마사회 강의-피부질환, 피부질환검사법(한국마사회 본사)
    • · 2016.10 청주시 수의사회 강의-개의 아토피성 피부질환(청주CBS 방송국)
    • · 2016.11 강원도 수의사회 강의
    • · 2016.12 버려진 동물을 위한 수의사회 펀딩강의: 로컬 수의사가 알고 있어야 할 아토피 질환(판교테크노벨리 글로벌 R&D센터)
    • · 2016.12 경기도 수의사회 연수교육 강의-로컬임상가들을 위한 피부진료 TIP(경기도 수의사회관)
    • · 2017.2 창원시 수의사회 강의: 개의 알러지성 피부질환 최신경향(창원 창신대학교)
    • · 2017.2 해마루동물병원 심야강의 심화과정-고양이 피부질환, 개 아토피성 피부질환(강남역)
    • · 2017.2 아포티 신약 아포퀠출시 Road show-부산,대전,대구,광주
    • · 2017.6 바이엘주최 바이엘아카데미 피부강의-저년차 수의사들을 위한 피부학(바이엘코리아 본사)
    • · 2017.10 화성시 수의사회 대상 피부강의-감염성 피부질환, 귀질환(용인스테이 호텔)
    • · 2017.11 서울특별시 관악구 평생교육원 강의-피부질환에 대한 오해와 진실(서울시 관악구청)
    • · 2017.11 충청남도 수의사회 보수교육 강의-감염성 피부질환(온양그랜드호텔)
    • · 2017.12 서울시 수의사회 컨퍼런스 강의-외이염의 내과적인 관리방법(건국대학교)
    • · 2017.12 임상수의사 대상 피부강의-개와 고양이의 알러지성 피부질환
    • · 2018.2 충북대학교 수의과대학 강의-해부, 생리학을 기본으로 한 외이염치료 기본원칙(충북대학교)
    • · 2018.3 충청남도 수의사회 보수교육 강의-간지러워 하는 강아지의 진단적 접근
    • · 2018.4 해마루 심야강의 기본과정 강의-Skin language:피부병변의 해석과 감염성 피부질환
    • · 2018.5 해마루 심야강의 기본과정 강의-초보임상가를 위한 귀질환
    • · 2018.6 서울시 수의사회 컨퍼런스강의-만성외이염의 내과적관리(건국대학교)
    • · 2018.6 바이엘 아카데미-초보임상가를 위한 피부질환(바이엘 본사)
    • · 2018.7 부산수의컨퍼런스강의-내과질환에 의한 피부이상(부산항 컨벤션 센터)
    • · 2018.8 KAHA 강의-죽어라 재발되는 지간염(COEX)
    • · 2018.10 경기도 수의사회의 날 강의-로컬임상가를 위한 반려동물 알러지성 피부질환(경기도 수의사회관)
    • · 2019.4 인천광역시 수의사회 연수교육강의-로컬임상가를 위한 귀질환(베스트웨스틴 하버파크호텔)
    • · 2019.6 경기도수의사회 연수교육강의강의-로컬동물병원에서 의뢰된 알러지성 피부질환 환자: 케이스 기반분석(경기도수의사회관)
    • · 2019.8 한국동물병원협회 국제학술대회강의-고양이의 알러지성 피부질환(COEX)
    • · 2019.10 서울시 수의사회 컨퍼런스 강의-만성외이염의 원인찾기: PSPP System(세종대학교)
    • · 2019.10 한국반려동물 임상수의사 학술대회: 알러지성 피부질환으로 의뢰된 환자 분석(대전 인터시티 호텔)
    • · 2019.10 로컬임상가를 위한 알러지성 피부질환(강남역)
    • · 2019.11 경기도수의사의날 학술대회강의-만성외이염의 원인: 알러지가 다일까?(수원컨벤션센터)
    • · 2020. 02 로컬임상가를 위한 알러지성 피부질환(부산 초량역)
    • · 2020.11 서울수의컨퍼런스강의-개와 다른 고양이의 피부질환: 진단(온라인)
    • · 2020.11 부산수의컨퍼런스강의-아토피성 피부질환 치료 최신경향(Bexco->온라인대체)
    • · 2021. 1 개의 감염성 피부질환(산본 솔동물의료센터)
    • · 2021. 3 개의 귀 질환(산본 솔동물의료센터)
    • · 2021. 7 개의 음식물알러지 온라인 강의:실전편(퓨리나 프로플랜)
    • · 2021. 9 한국동물병원협회 강의-피부전문동물병원으로 의뢰된 케이스 분석(세종대학교 광개토대왕홀)
    • · 2021.10 개의 음식물알러지 온라인 강의:이론편(퓨리나 프로플랜)
    • · 2021.12 서울수의컨퍼런스강의-발을 핥는 개에 대한 고찰(세종대학교 광개토대왕홀)
    • · 2022.5 장기지속 외이염 치료제: 엘랑코코리아 넵트라 런칭웨비나
    • · 2022.7 2022 영남수의컨퍼런스: 개 아토피 치료, 디테일이 결정한다(창원컨벤션센터 CECO)
    • · 2022.9 서울수의컨퍼런스(세종대학교 광개토대왕홀)
    • · 2022.11 경기수의컨퍼런스: 로컬임상가를 위한 스테로이드 사용지침(수원컨벤션센터)
    • · 2023.2 인천시수의사회연수교육강의: 발을 핥는 개에대한 고찰, 의뢰된 환자 무엇을 잘못하고 있나(인천송도컨벤시아)
    • · 2023.5 영남컨퍼런스강의: 고양이 아토피성 피부염-진단부터 치료까지(울산컨벤션센터)
    • · 2023.6 장기지속외이염 치료제 넵트라 웨비나(해마루 아이헤듀 스튜디오)
    • · 2023.11 인천수의컨퍼런스(송도컨벤션센터): Oclacitinib 사용 10년간의 기록
    • · 2024.3 한국동물병원협회 컨퍼런스(제주신화월드): 아토피 치료제 아포퀠 강의
    • · 2024.4 충청북도수의사회 연수교육(청주 프라자호텔): 아포퀠 강의
    • · 2024.6 충남대학교 수의과대학 대학원 특강(충남대 수의대): 아토피성 피부질환
    • · 2024.9 서울수의컨퍼런스(세종대학교): 고양이 알러지, 아토피 개와 뭐가 다르지?!
    • · 2024.11 경기도수의사회 컨퍼런스 강의(킨텍스): 개와 다른 고양이의 아토피성 피부질환
    • · 2024. 건국대학교 수의과대학 본과4학년 강의
    • · 2025.2 전라북도수의사회 연수교육강의(전북대학교): 고양이의 아토피
    • · 2025.5 전라남도 수의사회 강의
    • · 2025.7 경기도 수의사회 컨퍼런스 강의: 스테로이드 사용법
    • · 2025.8 Exosome의 수의피부학 분야 적용(아이헤듀)
    • · 2025.9 일본수의학회(JBVP) 강의(도쿄): 수의피부과학분야에서의 Exosome적용
    • 저서/번역서
    • · 고양이 피부질환의 임상적접근(Clinical approach to feline dermatologic diseases)

  • 이종명 내과원장

    이종명 내과원장

    • · 수의내과학 전공
    • 순환기내과
    • · 경상대학교 수의과대학 졸업
    • · 서울대학교 수의과대학 수의내과학 석사졸업(Full-time)
    • · 서울대학교 수의과대학 부속동물병원 내과 주치의
    • · 서울대학교 수의과대학 부속동물병원 피부과 팀장
    • · 평촌다온동물병원 내과과장
    • · 서울금천k동물병원 내과원장
    • · 용인서울yes동물병원 내과원장
    • · 수원24시바른동물의료센터 내과원장(현)
    • 전문활동사항
    • · 국립수의과학검역원 공중방역수의사
    • · 한국임상수의학회 정회원
    • · 수의내과학회 정회원
    • · 대한수의피부과학회 정회원
    • 학회참가
    • · 한국 임상수의학회 (2012, 2013, 2014)
    • · 한국 수의내과학회 (2012, 2013)
    • · 서울수의컨퍼런스(2012, 2013, 2014)
    • · KAHA congress (2007, 2012, 2014)
    • · WSAVA-FASAVA World Congress (2011)
    • · SNU Center for Veterinary Continuing Education 'small Animal Ultrasound' (2015)
    • · Westeren Veterinary Conference 2015 (Las Vegas, US)
    • 석사학위논문
    • · In vitro antrifungal effect of manuka essential oil on Malassezia pachydermatis from canine skin and ears
    • 강의내역
    • · 서울대학교 수의과대학 학부생 내과 실습강의 (2012, 2013)
    • · 서울대학교 수의과대학 학부생 피부과 실습강의 (2014)

  • 조광래 외과원장

    조광래 외과원장

    • · 수의외과학 전공
    • 정형신경외과
    • · 경상대학교 수의과대학 졸업
    • · 서울대학교 수의과대학 수의외과학 석사졸업(Full-time)
    • · 서울대학교 수의과대학 부속동물병원 정형/신경외과 주치의
    • · 광주동물메디컬센터 외과과장
    • · 금천24시 K동물의료센터 외과과장
    • · 수원24시바른동물의료센터 외과원장(현)
    • 전문활동사항
    • · 한국임상수의학회 정회원
    • · 수의외과학 정회원
    • · 수의골관절학회 정회원
    • 학술활동
    • · AOVET Course-Principles in Small Animal Fracture Management
    • · AOVET Course-Advanced in Small Animal Fracture Management
    • · 2017 World Veterinary Conferece E-Poster 'Effects of the Acetyl-Myristoleate in osteoarthritis dogs'
    • · 2018 North American Veterinary Community Conference
    • 석사학위논문
    • · Effects of Canine Cortical Bone Demineralization on Osteogenic Differentiation of Adipose-Derived Mesenchymal Stromal Cells

  • 박근보 내과원장

    박근보 내과원장

    • · 수의내과학 전공
    • 소화기내과 / 종양내과
    • · 경상대학교 수의과대학 졸업
    • · 서울대학교 수의과대학 수의내과학 석사 Full-time 졸업
    • · 서울대학교 동물병원 주치의(내과,피부과 근무)
    • · 서울대학교 수의과학연구소 연구원(사람과 동물간 질병전파에 관한 연구)
    • · 분당 k 동물병원 내과장, 부원장
    • · 웰케어 동물메디컬센터 내과장
    • · 용인 서울예스동물병원 원장
    • · 수원24시바른동물의료센터 내과원장(현)
    • · 한국수의순화기내과학회 정회원
    • · 한국수의피부과학확회 정회원
    • 해외학회 참가
    • · WCVD world congress of Veterinary Dermatology(Bordeaux, France)
    • · AMAMS(Shaghai, China)
    • · WCVD world congress of Veterinary Dermatology(hong kong)
    • · WASAVA(world small animal veterinary world congress-jeju)
    • 연구논문
    • · 수의내과학회 구두발표
    • · WCVD(세계수의피부학회) 포스터 발표
    • · 피부사상균이 경주마의 경기력에 미치는 영향(석사학위논문)

  • 유형아 외과원장

    유형아 외과원장

    • · 수의외과학 전공
    • 안과학 / 일반외과 / 한방수의학
    • · 건국대학교 수의과대학 졸업
    • · 서울대학교 수의과대학 수의외과학 석사졸업(Full-time)
    • · 서울대학교 수의과대학 부속동물병원 근무
    • · 국립수의과학검역원 진단병리과
    • · 쿨펫동물병원 원장
    • · 두암한방동물병원 부원장
    • · 수원삼성동물의료센터 외과과장
    • · 수원24시바른동물의료센터 외과원장(현)
    • 전문활동사항
    • · 한국임상수의학회 정회원
    • · 수의외과학회 정회원
    • · 수의안과학회 정회원
    • 석사학위논문
    • · Determination of the Optical Dark Adaptation Time on Electroretinogram in Conscious Miniature Schnauzer Dogs

  • 문형욱 진료부장

    문형욱 진료부장

    • · 제주대학교 수의과대학 졸업
    • · 제주대학교 조직학 실험실 연구원
    • · 육군 수의장교
    • · 건국대학교 수의외과학 전공 석사과정
    • 발표논문
    • · Microarray analysis of differentially expressed gene and their functions of jeju ground water in spleen
    • 연수 및 교육과정 이수
    • · 인천광역시 수의사회 수의치과 세미나 수료
    • · 해마루 이차진료 동물병원 복부초음파, 방사선 과정 수료
    • · 치과전문동물병원 발치학, 레진 세미나 수료
    • · Veterflix 치과과정(발치, 치과방사선, 스케일링 wet lab 수료)
    • · 2020 6th asian veterinary dental forum
    • · 2021 KAHA congress
    • · 2021, 2022 서울 수의임상컨퍼런스
    • · 2023 수원 수의임상컨퍼런스, 인천 수의임상컨퍼런스
    • · 2024 경기 수의임상컨퍼런스
    • · 2025 한국수의임상학술대회

  • 임연수 진료수의사

    임연수 진료수의사

    • · 강원대학교 수의과대학 수의학과 졸업
    • · 한국수의응급의학협회 정회원
    • 연수 및 교육과정 이수
    • · 2023 해마루 임상수의학 기본과정 수료

  • 성현정 부원장

    성현정 진료수의사

    • · 경상대학교 수의과대학 수의학과 졸업
    • · 서울대학교 수의과대학 동물병원 내과 진료수의사(2011~2013)
    • · 서울 지구촌동물병원 부원장 (2014~2015)
    • · 수원24시바른동물의료센터 진료수의사(현)
    • · 해마루동물병원, 서울대학교 수의과대학 동물병원 학생인턴

  • 심혜수 영상의학과장

    심혜수 영상의학과장

    • · 건국대학교 수의학과 졸업 (2015)
    • · 건국대학교 수의과대학원 수의영상진단학 석사 졸업 (2021)
    • · 한국수의영상의학연구회(KSVMI) 정회원
    • · International veterinary Radiology Association(IVRA) 정회원

    • · 24시 삼성동물의료센터 인턴 및 진료수의사 (2015~2016)
    • · 건국대학교 부속동물병원 인턴 및 레지던트 수료 (2020~2021)
    • · 한국임상수의학회 춘계학술대회 발표
    • · 솔동물의료센터 영상진단과장 (2021~2025)
    • · 현 수원24시바른동물의료센터 영상의학과장 (2025~)

  • 이수열 내과과장

    이수열 내과과장

    • · 제주대학교 수의과대학 졸업 (2022)
    • · 건국대학교 수의내과학 석사 졸업 (2024)

    • · 24시 SD동물의료센터 진료수의사(2022~2024)
    • · 수원 24타임즈 동물의료센터 야간응급수의사(2023~2024)

    • · 서울시 수의사회컨퍼런스 참가(2022)
    • · 미국 올랜도 Veterinary meeting and Expo (VMX) 참가(2023)
    • · 포르투갈 리스본 WSAVA poster 발표(2023)

    • · J Vet Sci. Diagnostic validation of the urine albumin-to-creatinine ratio for early renal disease in healthy dogs and dogs with chronic kidney disease

  • 최성지

    응급의학수의사

    더보기
    • · 경북대학교 수의과대학 졸업
    • 경력사항
    • · 2012.03~2014.01 (유) 바이오노트 전염성 질환 학술자문
    • · 2014.03~2015.02 잠실 이룸동물병원 진료 수의사
    • · 2015.03~2016.02 잠실 이룸동물병원 야간응급 수의사
    • · 2015.08~2016.02 천안동물의료센터 야간응급 외래진료 수의사
    • · 2018.10~2019.04 동탄 윌 동물병원 야간응급 외래진료 (겸직)
    • · 2016.03~2023.04 천안동물의료센터 야간응급 과장
    • 전문활동사항
    • · 한국응급수의학연구회 정회원
    • · 한국고양이수의사회 정회원
    • 학회참가
    • · Congress of Beijing Small Animal Veterinary Association, Beijing, China (8th/2012-09)
    • · ECVIM-CA 28th congress, Rotterdam Netherlands (2018-09-3~9)
    • · 기타 국내학회참석 다수
  • 신동균

    응급의학수의사

    더보기
    • · 건국대학교 수의학과 졸업
    • 경력사항
    • · 로얄동물메디컬 센터 인턴수의사
    • · 충현동물병원 인턴 및 진료수의사
    • · 하니동물병원 진료수의사
    • · 마더스동물병원 원장수의사
    • · 웰케어동물메디컬센터 진료수의사
    • · 건국 본 동물병원 진료수의사
    • · 위드유 동물병원 진료수의사
  • 채현우

    응급의학수의사

    더보기
    • · 충남대학교 수의학과 졸업
    • 경력사항
    • · 24시 인천 sky 동물의료센터 진료수의사
    • · 24시 계양 sky 동물의료센터 원장
    • · 24시 부평 sky 동물의료센터 진료과장
    • · 24시 울산 에스 동물의료센터 야간과장
  • 장영욱

    응급의학수의사

    더보기
    • · 전남대학교 수의학과 졸업
    • 경력사항
    • · 전남대학교 부속 동물병원 및 수의산과학교실/임상조교 활동
    • · 광주 말바우 동물병원 진료수의사 재진(1년간 재직)
    • · 광주 24시 공감 동물병원 진료수의사/야간응급 담당(6년간 재직)
BARUN ANIMAL MEDICAL CENTER 24시 응급의료센터
  • '우리집 앞 주치의' 라는 모토로 36524시간 운영

  • 응급진료에 적합한 첨단장비 보유

  • 입원환자 24시간 의료진 상주 케어

24시 동물병원이 이유
사람과 마찬가지로 반려동물도 언제, 어떻게 아플지 모릅니다. 만약 우리 아이들이 갑작스럽게 이상 증상을 보인다면 빠르게 내원하여 필요한 처치를 받을 수 있어야 하죠. 치료가 늦어질 수록 증상이 악화되어 반려동물과 보호자, 모두가 힘든 시간을 보내게 될 수 있습니다.
BARUN ANIMAL MEDICAL CENTER 중증내과질환센터
바른동물의료센터에는 중증내과환자 및 응급한 중환자들에게 반드시 필요한 ICU 및 의료산소공조시스템 등의 응급 설비가 갖춰져 있으며, 서울대학교 수의과대학 동물병원에서 내과와 외과 등 각 분야를 전공한 수의사들의 협진을 통해 정확한 진단과 진료가 이뤄지고 있습니다. 또한 24시간 의료진이 상주하며 환자들의 빠른 응급처치 및 집중입원치료가 가능합니다.
  • before1

    arrow

    after1

  • before2

    arrow

    after2

  • before3

    arrow

    after3

  • before4

    arrow

    after4

  • before5

    arrow

    after5

주치의 확인하기

이종명 내과원장

이종명 내과원장

  • · 수의내과학 전공
  • 순환기 내과
  • · 경상대학교 수의과대학 졸업
  • · 서울대학교 수의과대학 수의외과학 석사졸업 (Full-time)
  • · 서울대학교 수의과대학 부속동물병원 내과 주치의
  • · 서울대학교 수의과대학 부속동물병원 피부과 팀장
  • · 평촌다온동물병원 내과과장
  • · 서울금천k동물병원 내과원장
  • · 용인서울yes동물병원 내과원장
  • · 수원24시바른동물의료센터 내과원장(현)
  • 전문활동사항
  • · 국립수의과학검역원 공중방역수의사
  • · 한국임상수의학회 정회원
  • · 수의내과학회 정회원
  • · 대한수의피부과학회 정회원
  • 학회참가
  • · 한국 임상수의학회 (2012, 2013, 2014)
  • · 한국 수의내과학회 (2012, 2013)
  • · 서울수의컨퍼런스(2012, 2013, 2014)
  • · KAHA congress (2007, 2012, 2014)
  • · WSAVA-FASAVA World Congress (2011)
  • · SNU Center for Veterinary Continuing Education 'small Animal Ultrasound' (2015)
  • · Westeren Veterinary Conference 2015 (Las Vegas, US)
  • 석사학위논문
  • · In vitro antrifungal effect of manuka essential oil on Malassezia pachydermatis from canine skin and ears
  • 강의내역
  • · 서울대학교 수의과대학 학부생 내과 실습강의 (2012, 2013)
  • · 서울대학교 수의과대학 학부생 피부과 실습강의 (2014)

박근보 내과원장

박근보 내과원장

  • · 수의내과학 전공
  • 소화기내과/종양내과
  • · 경상대학교 수의과대학 졸업
  • · 서울대학교 수의과대학 수의내과학 석사 Full-time 졸업
  • · 서울대학교 동물병원 주치의(내과,피부과 근무)
  • · 서울대학교 수의과학연구소 연구원(사람과 동물간 질병전파에 관한 연구)
  • · 분당 k 동물병원 내과장, 부원장
  • · 웰케어 동물메디컬센터 내과장
  • · 용인 서울예스동물병원 원장
  • · 수원 24시바른동물의료센터 내과원장(현)
  • · 한국수의순화기내과학회 정회원
  • · 한국수의피부과학확회 정회원
  • 해외학회 참가
  • · WCVD world congress of Veterinary Dermatology(Bordeaux, France)
  • · AMAMS(Shaghai, China)
  • 연구논문
  • · 수의내과학회 구두발표
  • · WCVD(세계수의피부학회) 포스터 발표
  • · 피부사상균이 경주마의 경기력에 미치는 영향(석사학위논문)

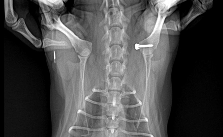
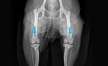
BARUN ANIMAL MEDICAL CENTER 정형외과수술센터
정형외과센터에서는 2kg 미만의 초소형견부터 60kg 이상의 초대형견까지 수술을 진행할 수 있는 전문수술동물병원 입니다. 고난이도 골절, 슬개골 탈구, 십자인대 파열 TPLO 수술부터 신경계 디스크 수술까지 서울대 동물병원 정형신경외과 출신 원장의 전문 진료와 수술을 통해 안전한 마취, 최상의 수술 결과를 위해 노력하고 있습니다.
  • before1

    arrow

    after1

  • before2

    arrow

    after2

  • before3

    arrow

    after3

    골절 수술 6주 후

  • before4

    arrow

    after4

  • before5

    arrow

    after5

주치의 확인하기

조광래 내과원장

조광래 외과원장

  • · 수의외과학 전공
  • 정형신경외과
  • · 경상대학교 수의과대학 졸업
  • · 서울대학교 수의과대학 수의외과학 석사졸업(Full-time)
  • · 서울대학교 수의과대학 부속동물병원 정형/신경외과 주치의
  • · 광주동물메디컬센터 외과과장
  • · 금천24시 K동물의료센터 외과과장
  • · 수원24시바른동물의료센터 외과원장(현)
  • 전문활동사항
  • · 한국임상수의학회 정회원
  • · 수의외과학 정회원
  • · 수의골관절학회 정회원
  • 학술활동
  • · AOVET Course-Principles in Small Animal Fracture Management
  • · AOVET Course-Advanced in Small Animal Fracture Management
  • · 2017 World Veterinary Conferece E-Poster 'Effects of the Acetyl-Myristoleate in osteoarthritis dogs'
  • · 2018 North American Veterinary Community Conference
  • 석사학위논문
  • · Effects of Canine Cortical Bone Demineralization on Osteogenic Differentiation of Adipose-Derived Mesenchymal Stromal Cells

BARUN ANIMAL MEDICAL CENTER 심장특화진료센터
심장특화진료센터에서는 오랜 기간 서울대학교 동물병원 및 대형 동물병원에서 심장병 환자를 관리했던 내과 의료진이 고사양 심장초음파 및 심전도 기기 등을 통해 환자의 심장질환을 정확하게 진단하여 치료 예후를 높이고 있습니다.
  • 이첨판폐쇄부전증 / 폐수종

    심장병에 의해 발생하는 심인성 폐수종은 상승된 혈관의 압력으로 인하여 폐포에 물이 차면서 발생하는 합병증입니다. 폐에 물이 차면서 호흡곤란 증상이 나타나고, 사망에도 이를 수 있는 응급질환입니다.

    이첨판폐쇄부전증 / 폐수종

    실제 치료사례

  • 고양이 심근비대증(HCM)

    심장 내벽이 두꺼워지는 질병으로, 심장에서 온몸으로 내보내는 혈액이 감소하게 되어 순환장애가 생기거나 혈전증이 발생합니다. 원활하지 못한 혈액순환으로 혈전이 생기면 치명적인 합병증을 일으킬 수 있습니다.

    고양이 심근질환

    실제 치료사례

  • 동맥관개존증(PDA)

    강아지에서 흔히 보이는 선천성 심장병 중 하나로, 출생 후에 닫혀야 할 동맥관이 정상적으로 닫히지 않고 열려 있는 상태가 지속되는 질환입니다. 빠르고 정확한 진단을 통해 약물 관리나 수술을 통해 치료해야 하는 심장병입니다.

    심장사상충

    실제 치료사례

주치의 확인하기

이종명 내과원장

이종명 내과원장

  • · 수의내과학 전공
  • 순환기 내과
  • · 경상대학교 수의과대학 졸업
  • · 서울대학교 수의과대학 수의외과학 석사졸업(Full-time)
  • · 서울대학교 수의과대학 부속동물병원 정형/신경외과 주치의
  • · 광주동물메디컬센터 외과과장
  • · 금천24시 K동물의료센터 외과과장
  • · 수원24시바른동물의료센터 외과원장(현)
  • 전문활동사항
  • · 한국임상수의학회 정회원
  • · 수의외과학 정회원
  • · 수의골관절학회 정회원
  • 학술활동
  • · AOVET Course-Principles in Small Animal Fracture Management
  • · AOVET Course-Advanced in Small Animal Fracture Management
  • · 2017 World Veterinary Conferece E-Poster 'Effects of the Acetyl-Myristoleate in osteoarthritis dogs'
  • · 2018 North American Veterinary Community Conference
  • 석사학위논문
  • · Effects of Canine Cortical Bone Demineralization on Osteogenic Differentiation of Adipose-Derived Mesenchymal Stromal Cells

박근보 내과원장

박근보 내과원장

  • · 수의내과학 전공
  • 소화기내과/종양내과
  • · 경상대학교 수의과대학 졸업
  • · 서울대학교 수의과대학 수의내과학 석사 Full-time 졸업
  • · 서울대학교 동물병원 주치의(내과,피부과 근무)
  • · 서울대학교 수의과학연구소 연구원(사람과 동물간 질병전파에 관한 연구)
  • · 분당 k 동물병원 내과장, 부원장
  • · 웰케어 동물메디컬센터 내과장
  • · 용인 서울예스동물병원 원장
  • · 수원 24시바른동물의료센터 내과원장(현)
  • · 한국수의순화기내과학회 정회원
  • · 한국수의피부과학확회 정회원
  • 해외학회 참가
  • · WCVD world congress of Veterinary Dermatology(Bordeaux, France)
  • · AMAMS(Shaghai, China)
  • 연구논문
  • · 수의내과학회 구두발표
  • · WCVD(세계수의피부학회) 포스터 발표
  • · 피부사상균이 경주마의 경기력에 미치는 영향(석사학위논문)

BARUN ANIMAL MEDICAL CENTER 안과센터
안과 센터에서는 서울대학교 수의과대학에서 수의안과학을 전공한 안과원장이 슬릿램프와 같은 안과전문진단기구를 이용하여 각막궤양, 백내장, 녹내장, 건성각결막염(KCS) 같은 안과질환을 정확하게 진단하여 치료하며, 직접 전문적인 안과수술까지 시행하고 있습니다.
  • before1

    arrow

    after1

  • before2

    arrow

    after2

  • before3

    arrow

    after3

  • before4

    arrow

    after4

  • before5

    arrow

    after5

주치의 확인하기

유형아 외과원장

유형아 외과원장

  • · 수의외과학 전공
  • 안과학 / 일반외과 / 한방수의학
  • · 건국대학교 수의과대학 졸업
  • · 서울대학교 수의과대학 수의외과학 석사졸업(Full-time)
  • · 서울대학교 수의과대학 부속동물병원 근무
  • · 국립수의과학검역원 진단병리과
  • · 쿨펫동물병원 원장
  • · 두암한방동물병원 부원장
  • · 수원삼성동물의료센터 외과과장
  • · 수원24시바른동물의료센터 외과원장(현)
  • 전문활동사항
  • · 한국임상수의학회 정회원
  • · 수의외과학회 정회원
  • · 수의안과학회 정회원
  • 석사학위논문
  • · Determination of the Optical Dark Adaptation Time on Electroretinogram in Conscious Miniature Schnauzer Dogs

BARUN ANIMAL MEDICAL CENTER 피부질환연구센터
바른동물의료센터 피부질환연구소는 수도권을 포함해 전국에서 환자들이 내원하는 최고 레벨의 '개, 고양이 피부질환/내분비 질환' 전문병원입니다. 본원은 단순 진료뿐만 아니라 신약개발, 다국적 제약회사 제품의 국내 임상, 임상수의사를 대상으로 한 학회 강의 등을 통해 국내 임상의 수준을 높이기 위해 기여하고 있습니다.
  • before1

    arrow

    after1

  • before2

    arrow

    after2

  • before3

    arrow

    after3

  • before4

    arrow

    after4

  • before5

    arrow

    after5

  • before6

    arrow

    after6

주치의 확인하기

송치윤 외과원장

송치윤 내과원장

  • · 수의내과학 전공
  • 피부과학 / 내분비내과
  • · 경상대학교 수의과대학 졸업
  • · 서울대학교 수의과대학 수의내과학 석사졸업(Full-time)
  • · 서울대학교 수의과대학 부속동물병원 내과 주치의(2010.12 ~ 2013)
  • · 해마루 동물병원 내과/피부과 팀장(2013 ~ 2017)
  • · 삼성동물의료센터 내과원장
  • · 수원24시바른동물의료센터 내과원장(현)
  • · 부설반려동물피부질환연구소장
  • · 건국대학교 겸임교수
  • 전문활동사항
  • · 한국임상수의학회 정회원
  • · Bayer사 외이염 치료제 자문 및 Study report(2014)
  • · 생체외배양 면역세포(Exvivo boosted immune cell) 아토피 환자 대상 효능평가(2015-2016)
  • · 조에티스 아토피 치료약물(아포퀠) Field clinical test(2017-2018)
  • · 퓨리나 프로플랜 가수분해사료 HA Field Clinical Test(2021)
  • · 엘랑코 코리아 장기지속 외이염 지료제 Neptra Field Clinical test(2022)
  • · 대한수의사회지 피부질환 연재기고, 내과수의사의 재미있는 피부질환 이야기 (2014~현재)
  • · 서울시수의사회 학술지 연재기고, How I dIagnose
  • · 농림부 / 대한수의사회 동물보호시범교육단 동물보호교육 강의(2014~)
  • · 네오딘 벳랩 자문수의사(2021~) 외 다수의 기업에서 KOL(Key opinion leader) 활동중
  • 학회참가
  • · 서울대-건국대 합동증례발표회 (2010)
  • · World Small Animal Veterinary Association "WSAVA" 2011 (Jeju, Korea)
  • · 한국 임상수의학회 (2011, 2012, 2013, 2014, 2015,2016,2017,2018)
  • · 한국 수의내과학회 (2011, 2012)
  • · 서울수의컨퍼런스(2013,2014,2015,2016,2017,2018)
  • · Asian pacific veterinary conference 2014 (Bangkok, Tailand)
  • · Hill’s global symposium 2016(LA, USA)
  • · World congress of veterinary dermatology 2016(Bordeaux, France)
  • · World Small Animal Veterinary Association "WSAVA" 2017 (Incheon, Korea)
  • 방송출현
  • · JTBC <체인지>: 반려동물 고령화시대
  • · SBS <모닝와이드>: 반려동물 자가치료 부작용
  • 석사학위논문
  • · Effect of Manuka essential oil on Staphylococcus pseudintermedius isolated from canine skin and ears
  • 해외논문투고
  • · In vitro efficacy of the essential oil from Leptospermum scoparium (manuka) on antimicrobial susceptibility and biofilm formation in Staphylococcus pseudintermedius isolates from dogs (veterinary dermatology, 2013)
  • · Target organ identification of jellyfish envenomation using systemic and integrative analyses in anesthetized dogs (2011)
  • 수의사 대상 강의내역(내과강의)
  • · 2015.1 충북대 임상동문회 내과 강의 1강(강남역)
  • · 2016.7 아이헤듀 웨비나 내과강의: 빈호흡을 보이는 환자(해마루동물병원 아이헤듀 스튜디오)
  • · 2016.8 재경경상대학교 수의과대학 임상동문회 내과강의 4강(서울특별시 수의사회관)
  • · 2016.11 한국동물병원협회-네오딘 개소식 강의:빈혈로 내원한 환자 진단하기(부산크라운하버호텔)
  • · 2017.3 아이해듀 웨비나 내과강의: 복부팽만을 보이는 환자(해마루동물병원 아이헤듀 스튜디오)
  • · 2018.3 재경경상대학교 수의과대학 임상동문회 내과강의(서울특별시 수의사회과)
  • · 2018.5 로컬동물병원에서 자주 경험하는 비뇨기질환의 내과적 관리(서울특별시 수의사회관)
  • · 2018.5 로컬동물병원에서 자주 경험하는 혈액질환의 내과적 관리(서울특별시 수의사회관)
  • · 2018.9 내과질환에 의한 피부이상(경기도 수의사회관)
  • · 2019.3 개의 호르몬 질환과 피부이상(개의 쿠싱, 갑상선기능저하증)
  • 수의사 대상 강의내역(피부강의)
  • · 2013.11 해마루 동물병원 주최 성남시 수의사 대상 강의-소양감 접근법(해마루동물병원)
  • · 2013.11 해마루 동물병원 주최 성남시 수의사 대상 강의-피부질환에서 흔히 사용하는 약물(해마루동물병원)
  • · 2013.12 임상수의사 대상 강의-소양감 접근법, 외이염강의(강남역)
  • · 2014.5 아크리스동물병원 초청강의-피부과 약물/최신치료동향,항생제 감수성 테스트의 해석(건국대학교 산학협력관)
  • · 2014.5 리베동물병원 임상수의사 대상강의(목동리베동물병원)
  • · 2014.6 서울/경기지역 임상수의사 모임(VMCR) 대상강의(서울시 수의사회관)
  • · 2014.8 해마루동물병원 심야강의 기본과정(해마루동물병원)
  • · 2014.9 경기도수의사 대상 강의-피부과 약물정리 / 탈모로 내원한 환자 접근법(경기도 수의사회)
  • · 2014.9 서울시 수의사회 conference 강의-쉬운 듯, 어려운 모낭충(건국대학교 산학협력관)
  • · 2014.10 부산시 경상대학교 임상동문회 강의(부산 서면)
  • · 2014.11 부산시 수의사회 강의 4강(부산동물메디컬 센터)
  • · 2014.12 용인시 수의사회 강의 3강(강남대학교)
  • · 2014.12 국립 경상대학교 수의과대학 본과생 대상 특강(경상대학교 수의과대학 본과3 강의실)
  • · 2015.2 해마루 심야강의 중급과정 피부강의(해마루 2차진료 동물병원)
  • · 2015.3 인천시 수의사회 연수교육 피부강의-육안병변과 현미경으로 진단확률 높이기(인천 파라다이스 호텔)
  • · 2015.4 천안시 수의사회 강의(천안시 두정동)
  • · 2015.5 해마루컨퍼런스 강의-개의 만성외이염(삼성역 인터콘티넨셜 호텔)
  • · 2015.6 울산시 수의사회 강의(울산광역시 임상수의사회관)
  • · 2015.7 아이해듀 웨비나 강의-skin language: 피부병변 해석하기!
  • · 2015.8 한국동물병원 협회 EXPO 강의(일산 KINTEX)
  • · 2015.8 GNS BIO 사내강의-Canine atopic dermatitis(GNS BIO 본사)
  • · 2015.9 아이해듀 웨비나 강의-모낭충 어떻게 진단하고 치료할까?
  • · 2015.10 추계임상수의학회 강의-각화이상 피부질환(서울대학교)
  • · 2015.11 한국동물병원협회 한국임상수의사 추계학술대회 강의(대전 컨벤션 센터)
  • · 2015.12 울산광역시 수의사회 강의-개의 외이염(울산시 수의사회과)
  • · 2016.2 부천시수의사회 강의(부천시 수의사회 사무실)
  • · 2016.3 한국동물병원협회 창립총회 강의
  • · 2016.4 경기도 수의사회 연수교육강의-내과질환과 피부이상(경기도 수의사회과)
  • · 2016.4 전주시 수의사회 피부질환 특강
  • · 2016.5 대구시 수의사회 연수교육 강의(경북대학교)
  • · 2015.6 KVBP forum lunch semina 아토피 강의 1강 체외증강면역세포를 이용한 개아토피 치료증례 발표(메이필드 호텔)
  • · 2015.7 영남컨퍼런스강의(부산 BEXCO)
  • · 2016.8 서울수의컨퍼런스(양재동 K-HOTEL)강의
  • · 2016.9 광주광역시 수의사회 로컬임상가들이 반드시 알아야 할 아토피: 과거 그리고 미래
  • · 2016.10 한국마사회 강의-피부질환, 피부질환검사법(한국마사회 본사)
  • · 2016.10 청주시 수의사회 강의-개의 아토피성 피부질환(청주CBS 방송국)
  • · 2016.11 강원도 수의사회 강의
  • · 2016.12 버려진 동물을 위한 수의사회 펀딩강의: 로컬 수의사가 알고 있어야 할 아토피 질환(판교테크노벨리 글로벌 R&D센터)
  • · 2016.12 경기도 수의사회 연수교육 강의-로컬임상가들을 위한 피부진료 TIP(경기도 수의사회관)
  • · 2017.2 창원시 수의사회 강의: 개의 알러지성 피부질환 최신경향(창원 창신대학교)
  • · 2017.2 해마루동물병원 심야강의 심화과정-고양이 피부질환, 개 아토피성 피부질환(강남역)
  • · 2017.2 아포티 신약 아포퀠출시 Road show-부산,대전,대구,광주
  • · 2017.6 바이엘주최 바이엘아카데미 피부강의-저년차 수의사들을 위한 피부학(바이엘코리아 본사)
  • · 2017.10 화성시 수의사회 대상 피부강의-감염성 피부질환, 귀질환(용인스테이 호텔)
  • · 2017.11 서울특별시 관악구 평생교육원 강의-피부질환에 대한 오해와 진실(서울시 관악구청)
  • · 2017.11 충청남도 수의사회 보수교육 강의-감염성 피부질환(온양그랜드호텔)
  • · 2017.12 서울시 수의사회 컨퍼런스 강의-외이염의 내과적인 관리방법(건국대학교)
  • · 2017.12 임상수의사 대상 피부강의-개와 고양이의 알러지성 피부질환
  • · 2018.2 충북대학교 수의과대학 강의-해부, 생리학을 기본으로 한 외이염치료 기본원칙(충북대학교)
  • · 2018.3 충청남도 수의사회 보수교육 강의-간지러워 하는 강아지의 진단적 접근
  • · 2018.4 해마루 심야강의 기본과정 강의-Skin language:피부병변의 해석과 감염성 피부질환
  • · 2018.5 해마루 심야강의 기본과정 강의-초보임상가를 위한 귀질환
  • · 2018.6 서울시 수의사회 컨퍼런스강의-만성외이염의 내과적관리(건국대학교)
  • · 2018.6 바이엘 아카데미-초보임상가를 위한 피부질환(바이엘 본사)
  • · 2018.7 부산수의컨퍼런스강의-내과질환에 의한 피부이상(부산항 컨벤션 센터)
  • · 2018.8 KAHA 강의-죽어라 재발되는 지간염(COEX)
  • · 2018.10 경기도 수의사회의 날 강의-로컬임상가를 위한 반려동물 알러지성 피부질환(경기도 수의사회관)
  • · 2019.4 인천광역시 수의사회 연수교육강의-로컬임상가를 위한 귀질환(베스트웨스틴 하버파크호텔)
  • · 2019.6 경기도수의사회 연수교육강의강의-로컬동물병원에서 의뢰된 알러지성 피부질환 환자: 케이스 기반분석(경기도수의사회관)
  • · 2019.8 한국동물병원협회 국제학술대회강의-고양이의 알러지성 피부질환(COEX)
  • · 2019.10 서울시 수의사회 컨퍼런스 강의-만성외이염의 원인찾기: PSPP System(세종대학교)
  • · 2019.10 한국반려동물 임상수의사 학술대회: 알러지성 피부질환으로 의뢰된 환자 분석(대전 인터시티 호텔)
  • · 2019.10 로컬임상가를 위한 알러지성 피부질환(강남역)
  • · 2019.11 경기도수의사의날 학술대회강의-만성외이염의 원인: 알러지가 다일까?(수원컨벤션센터)
  • · 2020. 02 로컬임상가를 위한 알러지성 피부질환(부산 초량역)
  • · 2020.11 서울수의컨퍼런스강의-개와 다른 고양이의 피부질환: 진단(온라인)
  • · 2020.11 부산수의컨퍼런스강의-아토피성 피부질환 치료 최신경향(Bexco->온라인대체)
  • · 2021. 1 개의 감염성 피부질환(산본 솔동물의료센터)
  • · 2021. 3 개의 귀 질환(산본 솔동물의료센터)
  • · 2021. 7 개의 음식물알러지 온라인 강의:실전편(퓨리나 프로플랜)
  • · 2021. 9 한국동물병원협회 강의-피부전문동물병원으로 의뢰된 케이스 분석(세종대학교 광개토대왕홀)
  • · 2021.10 개의 음식물알러지 온라인 강의:이론편(퓨리나 프로플랜)
  • · 2021.12 서울수의컨퍼런스강의-발을 핥는 개에 대한 고찰(세종대학교 광개토대왕홀)
  • · 2022.5 장기지속 외이염 치료제: 엘랑코코리아 넵트라 런칭웨비나
  • · 2022.7 2022 영남수의컨퍼런스: 개 아토피 치료, 디테일이 결정한다(창원컨벤션센터 CECO)
  • · 2022.8 부산수의컨퍼런스: 재발성 피부병의 기저질환 찾기-내분비 질환과 피부병(부산컨벤션센터 BEXCO)
  • · 2022.9 서울수의컨퍼런스(세종대학교 광개토대왕홀)
  • · 2022.11 경기수의컨퍼런스: 로컬임상가를 위한 스테로이드 사용지침(수원컨벤션센터)
  • · 2023.2 인천시수의사회연수교육강의: 발을 핥는 개에대한 고찰, 의뢰된 환자 무엇을 잘못하고 있나(인천송도컨벤시아)
  • · 2023.5 영남컨퍼런스강의: 고양이 아토피성 피부염-진단부터 치료까지(울산컨벤션센터)
  • · 2023.6 장기지속외이염 치료제 넵트라 웨비나(해마루 아이헤듀 스튜디오)
  • · 2023.11 인천수의컨퍼런스(송도컨벤션센터): Oclacitinib 사용 10년간의 기록
  • · 2024.3 한국동물병원협회 컨퍼런스(제주신화월드): 아토피 치료제 아포퀠 강의
  • · 2024.4 충청북도수의사회 연수교육(청주 프라자호텔): 아포퀠 강의
  • · 2024.6 충남대학교 수의과대학 대학원 특강(충남대 수의대): 아토피성 피부질환
  • · 2024.9 서울수의컨퍼런스(세종대학교): 고양이 알러지, 아토피 개와 뭐가 다르지?!
  • · 2024.11 경기도수의사회 컨퍼런스 강의(킨텍스): 개와 다른 고양이의 아토피성 피부질환
  • · 2024. 건국대학교 수의과대학 본과4학년 강의
  • · 2025.2 전라북도수의사회 연수교육강의(전북대학교): 고양이의 아토피
  • · 2025.5 전라남도 수의사회 강의
  • · 2025.7 경기도 수의사회 컨퍼런스 강의: 스테로이드 사용법
  • · 2025.8 Exosome의 수의피부학 분야 적용(아이헤듀)
  • · 2025.9 일본수의학회(JBVP) 강의(도쿄): 수의피부과학분야에서의 Exosome적용

BARUN ANIMAL MEDICAL CENTER 영상CT센터
바른동물의료센터 CT 검사는 일반 방사선 검사와 다르게 겹침이 없어 3차원으로 판독이 가능하고 전신의 병변 부위를 면밀하게 관찰할 수 있습니다.

3D 입체 영상을 통해 다양한 질환 진단 가능

빠른 촬영 기술로 마취시간 최소화

종양 진단 및 전이 여부 파악 가능

방사선 노출량 감소로 환자의 안정성 향상

  • 흉 부
  • 복 부
  • 종 양
  • 두경부
  • 근골격계
  • 혈관 질환
BARUN ANIMAL MEDICAL CENTER 건강검진센터
예고 없이 찾아오는 각종 질환, 아파도 말로 표현하지 못하는 아이들의 위해 적어도 1년에 한 번, 건강검진을 통해 건강을 체크해 주세요.
  • BASIC
  • STANDARD:일반
  • SILVER:정밀
  • 심장정밀
Gold Cat Friendly Clinic
세계고양이수의사회(ISFM) 을 취득하려면?
  • 01 규정에 맞는 입원장을 보유하고 있나요? OK
  • 02 고양이만을 위한 치료실이 있나요? OK
  • 03 고양이가 안정을 취할 수 있는 환경과 시설을 갖추고 있나요? OK
  • 04 고양이를 잘 알고 전문으로 진료할 수 있는 의료진이 있나요? OK
  • CAT ZONE

    병원 입구에서부터 분리된 CAT ZONE

  • 고양이 단독 진료실

    고양이를 위한 단독 진료실

  • 분리 입원실

    스트레스 최소화를 위한 분리 입원실

BARUN ANIMAL MEDICAL CENTER 병원시설
보호자와 반려동물 모두가 편하게 쉴 수 있도록 쾌적하고 넓은 공간이 마련되어 있습니다. 365일 최고의 시설과 최고의 의료진이 함께할 수 있도록 최선을 다하겠습니다.

시설사진01

  • 시설사진01
  • 시설사진02
  • 시설사진03
  • 시설사진04
  • 시설사진05
  • 시설사진06
  • 시설사진07
  • 시설사진08
  • 시설사진09
  • 시설사진10
  • 시설사진11
  • 시설사진12
  • 시설사진13
  • 시설사진14
  • 시설사진15
  • 시설사진16
  • 시설사진17
  • 시설사진18
  • 시설사진19
  • 시설사진20
  • 시설사진21
  • 시설사진22
  • 시설사진23
  • 시설사진24
  • 시설사진25
  • 시설사진26
  • 시설사진27
  • 시설사진28
  • 시설사진29
  • 시설사진30
  • 시설사진31
  • 시설사진32
  • 시설사진33
  • 시설사진34
  • 시설사진35
  • 시설사진36
  • 시설사진37
  • 시설사진38
  • 시설사진39
  • 시설사진40
  • 시설사진41
  • 시설사진42
  • 시설사진43
  • 시설사진44
BARUN ANIMAL MEDICAL CENTER 오시는 길
일반진료 아이콘일반진료

am 9:30 ~ pm 9:30

  • · 9시부터 30분간 환자 라운딩 및 인수인계
  • · 일요일, 법정 공휴일은 일반진료
응급진료 아이콘응급진료

pm 9:30 ~ am 9:30

  • · 추석, 설연휴 당일은 응급진료
  • 지 도
  • 지역별 거리 안내도
  • 주차시설
  • 주차장 안내

경기도 수원시 권선구 금곡로 213 딜라이트타워 2층

031.291.2475

개인정보 수집 및 이용 동의
1. 개인정보의 처리 목적

[ 바른동물의료센터 ] 이하 [ 본원 ] 은 다음의 목적을 위하여 개인정보를 처리하고 있으며, 다음의 목적 이외의 용도로는 이용하지 않습니다.
- 고객 가입의사 확인, 고객에 대한 서비스 제공에 따른 본인 식별, 인증, 회원자격 유지, 관리, 물품 또는 서비스 공급에 따른 금액 결제, 물품 또는 서비스의 공급, 배송 등

2. 개인정보의 처리 및 보유 기간

① [ 본원 ]은 정보주체로부터 개인정보를 수집할 때 동의 받은 개인정보 보유, 이용기간 또는 법령에 따른 개인정보 보유, 이용기간 내에서 개인정보를 처리, 보유합니다.

3. 개인정보의 제3자 제공

[ 본원 ]은 정보주체의 별도 동의, 법률의 특별한 규정 등 개인정보 보호법 제17조에 해당하는 경우 외에는 개인정보를 제3자에게 제공하지 않습니다.

4. 개인정보처리 위탁

① [ 본원 ]은 개인정보 처리업무를 위탁하고 있지 않습니다.
② [ 본원 ]은 위탁계약 체결시 개인정보 보호법 제25조에 따라 위탁업무 수행목적 외 개인정보 처리금지, 기술적, 관리적 보호조치, 재위탁 제한, 수탁자에 대한 관리, 감독, 손해배상 등 책임에 관한 사항을 계약서 등 문서에 명시하고, 수탁자가 개인정보를 안전하게 처리하는지를 감독하고 있습니다.
③ 위탁업무의 내용이나 수탁자가 변경될 경우에는 지체없이 본 개인정보 처리방침을 통하여 공개하도록 하겠습니다.

5. 정보주체의 권리, 의무 및 그 행사방법 이용자는 개인정보주체로서 다음과 같은 권리를 행사할 수 있습니다.

① 정보주체는 [ 병원명] ( ‘사이트URL’이하 ‘사이트명’ ) 에 대해 언제든지 다음 각 호의 개인정보 보호 관련 권리를 행사할 수 있습니다.
1. 개인정보 열람요구
2. 오류 등이 있을 경우 정정 요구
3. 삭제요구
4. 처리정지 요구

6. 처리하는 개인정보의 항목 작성

① [ 본원 ]은 다음의 개인정보 항목을 처리하고 있습니다.
1. 온라인상담 및 마케팅
- 필수항목 : 이름, 전화번호, 접속 로그, 쿠키, 접속 IP 정보
- 선택항목 : 없음

7. 개인정보의 파기

[ 본원 ]은 원칙적으로 개인정보 처리목적이 달성된 경우에는 지체없이 해당 개인정보를 파기합니다.
파기의 절차, 기한 및 방법은 다음과 같습니다.
-파기절차이용자가 입력한 정보는 목적 달성 후 별도의 DB에 옮겨져(종이의 경우 별도의 서류) 내부 방침 및 기타 관련 법령에 따라 일정기간 저장된 후 혹은 즉시 파기됩니다. 이 때, DB로 옮겨진 개인정보는 법률에 의한 경우가 아니고서는 다른 목적으로 이용되지 않습니다.
-파기기한이용자의 개인정보는 개인정보의 보유기간이 경과된 경우에는 보유기간의 종료일로부터 5일 이내에, 개인정보의 처리 목적 달성, 해당 서비스의 폐지, 사업의 종료 등 그 개인정보가 불필요하게 되었을 때에는 개인정보의 처리가 불필요한 것으로 인정되는 날로부터 5일 이내에 그 개인정보를 파기합니다.

8. 개인정보의 안전성 확보 조치

[ 본원 ]('본원')은 개인정보보호법 제29조에 따라 다음과 같이 안전성 확보에 필요한 기술적/관리적 및 물리적 조치를 하고 있습니다.

1. 내부관리계획의 수립 및 시행
개인정보의 안전한 처리를 위하여 내부관리계획을 수립하고 시행하고 있습니다.

2. 개인정보의 암호화
이용자의 개인정보는 비밀번호는 암호화 되어 저장 및 관리되고 있어, 본인만이 알 수 있으며 중요한 데이터는 파일 및 전송 데이터를 암호화 하거나 파일 잠금 기능을 사용하는 등의 별도 보안기능을 사용하고 있습니다.

3. 접속기록의 보관 및 위변조 방지
개인정보처리시스템에 접속한 기록을 최소 6개월 이상 보관, 관리하고 있으며, 접속 기록이 위변조 및 도난, 분실되지 않도록 보안기능 사용하고 있습니다.

4. 개인정보에 대한 접근 제한
개인정보를 처리하는 데이터베이스시스템에 대한 접근권한의 부여, 변경, 말소를 통하여 개인정보에 대한 접근통제를 위하여 필요한 조치를 하고 있으며 침입차단시스템을 이용하여 외부로부터의 무단 접근을 통제하고 있습니다.

9. 개인정보 보호책임자 작성

① 본원은 개인정보 처리에 관한 업무를 총괄해서 책임지고, 개인정보 처리와 관련한 정보주체의 불만처리 및 피해구제 등을 위하여 아래와 같이 개인정보 보호책임자를 지정하고 있습니다.
▶ 개인정보 보호책임자
성명 : 송치윤
직책 : 대표
직급 : 원장
연락처 : 031)291-2475

10. 개인정보 처리방침 변경

① 이 개인정보처리방침은 시행일로부터 적용되며, 법령 및 방침에 따른 변경내용의 추가, 삭제 및 정정이 있는 경우에는 변경사항의 시행 7일 전부터 공지사항을 통하여 고지할 것입니다.


기타 개인정보침해에 대한 신고나 상담이 필요하신 경우에는 아래 기관에 문의하시기 바랍니다.

1.개인분쟁조정위원회 (https://www.kopico.go.kr/1833-6972)
2.정보보호마크인증위원회 (http://www.eprivacy.or.kr/02-550-9500 )
3.경찰청 사이버테러대응센터 (https://ecrm.cyber.go.kr/112)


이름
반려동물 이름
연락처
예약희망 날짜, 시간(예약확정은 병원 진료스케쥴 확인 후 연락드립니다.)
작성
상호명 : 수원 24시 바른동물의료센터 / 대표자 : 이종명 / 사업자번호 : 857-18-00755 / 대표전화 : 031-291-2475 주소 : 경기도 수원시 권선구 금곡로 213 딜라이트타워 2층 / MAIL : 24barunamc@naver.com ⓒ 수원 24시 바른동물의료센터. All right reserved. Created By 티디컴퍼니